Формы аденомиоза
Аденомиоз классифицируется по морфологическим признакам на три основные формы:
- очаговая форма (эндометриальная ткань проникает в мышечный слой матки лишь в отдельных участках, образуя локализованные очаги);
- диффузная форма (равномерное поражение стенок матки);
- узловая форма (поражение мышечного слоя с образованием узлов).
В зависимости от глубины проникновения эндометриальной ткани выделяют четыре степени аденомиоза:
- I степень (влияние только на промежуточный слой);
- II степень (проникновение до середины мышечного слоя);
- III степень (затрагивает более половины мышечного слоя);
- IV степень (поражены все слои, с проникновением в брюшную полость).
Начальные стадии аденомиоза хорошо поддаются консервативному лечению. Хирургическое вмешательство требуется только при III и IV степенях заболевания.
Врачи отмечают, что аденомиоз матки требует индивидуального подхода к лечению. Операция может быть рекомендована в случаях, когда заболевание вызывает сильные боли, обильные менструации или анемию. Также хирургическое вмешательство необходимо, если медикаментозная терапия не приносит облегчения или если есть подозрение на сопутствующие патологии, такие как миома. Важно учитывать возраст пациентки и её репродуктивные планы: для женщин, планирующих беременность, консервативные методы могут быть предпочтительнее. Врачам важно проводить тщательную диагностику и обсуждать с пациенткой все возможные варианты лечения, чтобы выбрать наиболее подходящий подход.

Симптомы
В половине случаев данное заболевание не проявляет себя явно. Среди заметных симптомов, которые могут беспокоить женщин, выделяются:
- продолжительные или, наоборот, слишком короткие менструации, сопровождающиеся болевыми ощущениями и обильными кровотечениями;
- коричневые мажущие выделения в начале и конце менструального цикла;
- наличие сгустков в менструальных выделениях;
- кровянистые мажущие выделения между менструациями;
- выраженный предменструальный синдром (ПМС);
- диспареуния (боли во время полового акта).
Менструальный период может сопровождаться интенсивными болями. Обычно стандартные обезболивающие средства оказываются неэффективными. С возрастом дискомфорт во время менструации, как правило, усиливается.
| Показание к операции | Описание | Альтернативные методы лечения |
|---|---|---|
| Выраженный болевой синдром, не поддающийся консервативной терапии | Хронические тазовые боли, дисменорея, диспареуния, значительно снижающие качество жизни, несмотря на применение гормональной терапии, НПВС и других методов. | Гормональная терапия (КОК, прогестины, агонисты ГнРГ), НПВС, физиотерапия, обезболивающие препараты. |
| Обильные и длительные маточные кровотечения, приводящие к анемии | Меноррагия, метроррагия, вызывающие снижение уровня гемоглобина и ферритина, требующие частых переливаний крови или значительно ухудшающие общее состояние. | Гормональная терапия (КОК, прогестины, внутриматочная спираль с левоноргестрелом), препараты железа, транексамовая кислота. |
| Значительное увеличение размеров матки, вызывающее компрессию соседних органов | Давление на мочевой пузырь (частое мочеиспускание), прямую кишку (запоры, дискомфорт), что приводит к нарушению их функций. | Гормональная терапия (может временно уменьшить размеры матки), симптоматическое лечение. |
| Бесплодие, ассоциированное с аденомиозом, при неэффективности других методов | Аденомиоз может нарушать имплантацию эмбриона и транспорт гамет. Операция рассматривается после неудачных попыток ЭКО или при невозможности забеременеть естественным путем. | Гормональная терапия (для подавления аденомиоза перед ЭКО), вспомогательные репродуктивные технологии. |
| Подозрение на злокачественное перерождение (редко) | При наличии атипичных клеток в биопсии или быстром росте образования, вызывающем подозрение на саркому или другие злокачественные процессы. | Дополнительные диагностические исследования (МРТ, биопсия), онкологическое лечение. |
| Неэффективность или непереносимость консервативной терапии | Отсутствие улучшения состояния или развитие серьезных побочных эффектов от гормональной терапии, что делает ее дальнейшее применение невозможным. | Изменение схемы гормональной терапии, поиск альтернативных консервативных методов. |
Почему появляется аденомиоз?
Точные причины возникновения данного заболевания остаются неясными. Считается, что его развитие может быть связано с факторами, которые нарушают защитный барьер, а именно:
- хирургические процедуры на матке (выскабливание, кесарево сечение, аборт);
- различные воспалительные процессы в матке или её придатках;
- гормональные нарушения;
- генетическая предрасположенность;
- наличие внутриматочной спирали;
- частые посещения солярия;
- нерегулярная половая жизнь;
- постоянные переутомления;
- сбои в иммунной системе, вызванные частыми стрессами.
Существуют случаи, когда аденомиоз выявляется у женщин, не перенесших никаких медицинских вмешательств или заболеваний, а также у молодых девушек. В таких ситуациях заболевание может развиваться без влияния внешних факторов. Одной из возможных причин может быть нарушение, произошедшее во время внутриутробного развития плода.
Также причиной может стать недостаточное открытие шейки матки во время менструации, когда происходит её спазм, и сокращающиеся мышцы создают высокое давление в матке. В этот момент может произойти повреждение защитного слоя, который отделяет эндометрий от мышечной ткани. В результате затрудняется отток выделений, которые под действием давления выбрасываются в значительных объемах в брюшную полость через придатки, где частицы эндометриальной ткани имплантируются, что приводит к развитию эндометриоза.
Аденомиоз матки — это заболевание, которое вызывает много вопросов и обсуждений среди женщин. Многие отмечают, что симптомы, такие как болезненные менструации и хроническая боль внизу живота, значительно ухудшают качество жизни. Важно понимать, что не всегда требуется хирургическое вмешательство. Операция может быть рекомендована в случаях, когда медикаментозное лечение не приносит облегчения, а также при наличии крупных образований или сильных болей, мешающих повседневной активности. Некоторые женщины выбирают операцию для улучшения фертильности, особенно если планируют беременность. Однако решение о необходимости операции всегда должно приниматься совместно с врачом, основываясь на индивидуальных симптомах и состоянии здоровья.

Методы диагностики
Существует несколько способов диагностики аденомиоза. Некоторые из них могут быть довольно дорогими, но именно они обеспечивают точный диагноз и помогают выбрать оптимальное лечение.
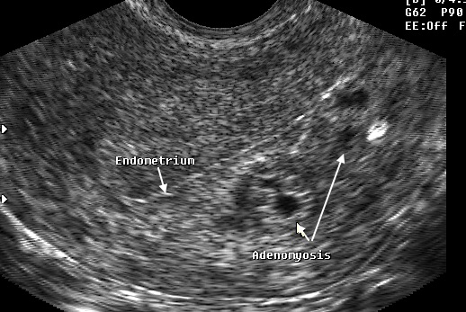
- Ультразвуковое исследование (УЗИ) – позволяет выявить увеличение матки, неоднородность миометрия, размытость слоев матки и наличие отдельных очагов. Стенки матки могут иметь различную толщину.
- Осмотр на гинекологическом кресле с использованием зеркал. Врач может заметить увеличение матки, что может указывать на «круглую матку».
- Кольпоскопия – выполняется с помощью специального устройства видеокольпоскопа, которое позволяет оценить состояние шейки матки.
- Гистероскопия – включает в себя создание нескольких небольших надрезов в брюшной полости. Через один из них вводится миниатюрная видеокамера, а через остальные – инструменты. Этот метод используется как для диагностики, так и для хирургического вмешательства.
- Лапароскопия – в этом случае надрезы не делают, так как видеокамера и инструменты вводятся через влагалище и шейку матки. Этот метод подходит как для диагностики, так и для операций на ранних стадиях аденомиоза.
- Магнитно-резонансная томография (МРТ) – используется реже в данной диагностике. МРТ назначается только после УЗИ, если оно не дало ясного ответа на вопрос, является ли это узловой формой аденомиоза или миомой.
Многие женщины могут жить с аденомиозом на протяжении всей жизни и даже не подозревать о его наличии. Поэтому не стоит паниковать, если после осмотра врач поставит этот диагноз. Возможно, потребуется лишь профилактическое наблюдение.
После завершения полного обследования назначается необходимое лечение. Аденомиоз не поддается полному излечению. Можно лишь предотвратить дальнейшее развитие заболевания и достичь регрессии до наступления менопаузы, когда регрессия происходит естественным образом.
Существует два подхода к лечению — консервативный (терапевтический) и хирургический (оперативный).
Консервативное лечение
Лечение аденомиоза начинается при наличии небольшого одиночного очага в матке. В большинстве случаев назначаются агонисты гонадотропин-релизинг гормонов (ГнРГ), такие как Люкрин депо, Бусерелин-депо или Золадекс. Эти препараты вызывают временную обратимую менопаузу, и после завершения курса лечения менструальный цикл восстанавливается. У женщин репродуктивного возраста шансы на беременность значительно увеличиваются. Если симптомы болезни выражены не сильно, можно использовать безрецептурные средства для терапии.
Аденомиоз имеет склонность к рецидивам. Чтобы закрепить положительные результаты после основного лечения, рекомендуется продолжать прием гормональных контрацептивов. В качестве альтернативы можно установить внутриматочную спираль «Мирена». Гормональные контрацептивы не только предотвращают развитие аденомиоза, но и замедляют его прогрессирование на ранних стадиях заболевания. Оптимальная схема применения препаратов — 63 дня приема, затем 7 дней перерыва, и снова 63 дня.

Хирургическое лечение при аденомиозе
Хирургическое вмешательство назначается в тех случаях, когда завершен полный курс консервативного лечения, но улучшения не наблюдается, а также в тяжелых ситуациях, когда аденомиоз проявляется в множественных и обширных формах (узловой и диффузный тип) или сочетается с другими заболеваниями матки.
Показания для проведения операции при аденомиозе матки:
- наличие диффузной или узловой формы;
- отсутствие положительного эффекта после трех месяцев консервативного лечения;
- гиперплазия миометрия с аденомиозом II – III степени;
- сочетание аденомиоза с миомой, опухолями яичников и другими патологиями;
- эндометриоидные кисты яичников;
- нагноение придатков матки;
- наличие сопутствующих заболеваний, при которых длительная гормональная терапия противопоказана;
- наличие спаечного процесса.
Хирургическое лечение аденомиоза может проводиться открытым способом, лапароскопически или гистероскопически. Выбор метода операции зависит от врача и учитывает наличие сопутствующих заболеваний и противопоказаний, а также степень тяжести аденомиоза.
Если женщина репродуктивного возраста планирует беременность, стараются удалить эндометриозную ткань, сохраняя матку. Более радикальным методом является ампутация матки, иногда с придатками, к которому прибегают только в крайних случаях, когда другие методы не дают результата. Операция может проводиться у женщин в постменопаузе или если репродуктивная функция больше не актуальна.
Абляция — это метод лечения аденомиоза, который применяется, когда эндометриальные ткани проникают только в промежуточный слой. Процедура может выполняться различными способами:
- с использованием лазера;
- с помощью электротока;
- при воздействии высокой температуры (баллонная внутриматочная терапия).
Эмболизация маточных артерий — это процедура, направленная на перекрытие сосудов, которые питают патологические очаги. В некоторых случаях она оказывается эффективной, и после вмешательства наблюдается постепенное уменьшение очагов.
Гистерэктомия (удаление матки) — это радикальная мера, которая может быть выполнена различными способами:
- удаление тела матки;
- удаление матки вместе с шейкой;
- удаление матки с верхней частью влагалища и окружающими тканями, поддерживающими эти органы.
Иногда также удаляются придатки (трубы и яичники) или пораженные эндометриозом соседние органы (например, желчный пузырь).
С развитием медицинских технологий операции по ампутации матки при аденомиозе стали проводиться с использованием лапароскопического метода. Гистерэктомия через влагалище позволяет избежать внешних шрамов. Часто такую операцию выполняют с помощью лапароскопа, который обеспечивает зрительный контроль над процессом. Для его введения на животе делают небольшой разрез, а во влагалище, ближе к матке, также выполняется разрез для удаления матки. Однако при аденомиозе на последних стадиях этот метод может быть неэффективен, так как матка обычно значительно увеличена и могут присутствовать различные новообразования, наиболее распространенными из которых являются фиброзные. В таких случаях необходим прямой (абдоминальный) доступ к матке, что подразумевает разрез на животе.
При влагалищном доступе существует риск повреждения мочеиспускательного канала, однако восстановление пациенток после операции проходит достаточно быстро. При абдоминальном доступе риск таких повреждений минимален, но восстановление занимает больше времени.
Важно учитывать, в какой период жизни пациентки проводится операция. Если она осуществляется до наступления климакса и удаляются придатки, врач обязательно назначает заместительную гормонотерапию. Если же удаляются и матка, и шейка, это может вызвать проблемы с осуществлением полового акта, что особенно актуально для женщин, у которых еще не наступил климактерический период.
Психологическая поддержка и помощь играют важную роль в реабилитации прооперированных женщин, поэтому рекомендуется организовывать встречи с психологом для пациенток.
Профилактика аденомиоза
Женщины нередко пренебрегают своим здоровьем, не обращая внимания на важные негативные симптомы, что приводит к медленному прогрессированию заболеваний. Существует несколько рекомендаций, следуя которым можно предотвратить множество проблем с маткой, включая аденомиоз:
- вести спокойный и размеренный образ жизни, избегая переутомления;
- снижать уровень психоэмоционального стресса, если он присутствует;
- ограничить посещения солярия;
- регулярно, дважды в год, проходить обследование у гинеколога.
Хотя аденомиоз сам по себе не вызывает бесплодия, он часто сопутствует другим заболеваниям матки, таким как миома и эндометриоз, которые могут негативно сказаться на фертильности. Поэтому женщинам, начиная с юного возраста, важно заботиться о своем здоровье.
Вопрос-ответ
Нужно ли делать операцию при аденомиозе?
Согласно рекомендациям Европейской и Американской ассоциаций врачей, только удаление тела матки является единственно радикальным методом при лечении аденомиоза. Для этого проводится надвлагалищная ампутация матки или гистерэктомия с лапароскопическим доступом.
Когда рекомендуется гистерэктомия при аденомиозе?
Гистерэктомия может вылечить аденомиоз, но ее следует рассматривать только в том случае, если все другие методы лечения не дали результата и вы больше не хотите иметь детей.
Советы
СОВЕТ №1
Перед принятием решения об операции обязательно проконсультируйтесь с несколькими специалистами. Это поможет получить более полное представление о вашем состоянии и возможных вариантах лечения.
СОВЕТ №2
Обратите внимание на симптомы, которые могут указывать на необходимость хирургического вмешательства, такие как сильные боли внизу живота, обильные менструации или проблемы с фертильностью. Ведение дневника симптомов может помочь врачу в диагностике.
СОВЕТ №3
Изучите все доступные методы лечения аденомиоза, включая консервативные подходы, такие как гормональная терапия. Операция может быть не единственным вариантом, и в некоторых случаях можно обойтись менее инвазивными методами.
СОВЕТ №4
Не забывайте о важности поддержки. Обсудите свои переживания и опасения с близкими или присоединитесь к группам поддержки, где можно обменяться опытом с другими женщинами, столкнувшимися с подобной проблемой.


