Что говорит статистика?
Статистическая обработка данных, полученных при компьютерной томографии, показала, что почти у 1/3 пациентов (26% изолированно и 3% в комбинации с другими сосудами) с ишемическим инсультом основной очаг расположен в вертебробазилярной зоне ответственности или бассейне. Его образуют двусторонняя позвоночная артерия, переходящая в базиллярную (основную).
Согласно клиническим заключениям, транзиторные ишемические атаки в этой зоне происходят в 3–3,5 раза чаще, чем в других экстракраниальных участках кровоснабжения мозга.
Причиной смертельного исхода от мозговой недостаточности сосудов в 57% случаев является атеросклеротический процесс в позвоночных артериях. Клиническая картина поражения связана с особенностями их расположения, формы, участия в гемодинамики.
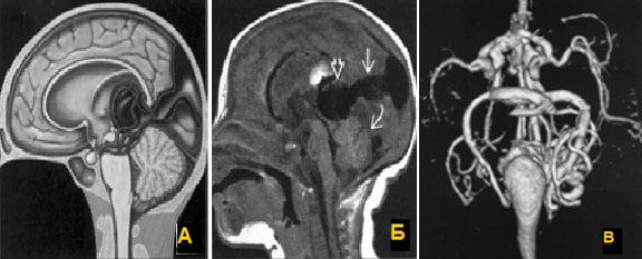
Мальформация большой вены мозга (вены Галена).
Центрально расположенная АВМ, дренирующаяся в вену Галена, с формированием ее варикозного расширения. У новорожденных могут возникать явления сердечной недостаточности за счет большого объема шунтового кровотока.
а) Мальформация (варикозное расширение) вены Галена, схема. б)Т1-sag определяется расширенная вена Галена (открытая стрелка), дренирующаяся (стрелка) в сагиттальный синус; в) МР-объемная реконструкция.
Получите бесплатный ответ от самых лучших юристов сайта.
28,265 ответов за неделю
2,744 отвечающих врачей
Анатомические особенности вертебральных артерий
В норме по вертебральным артериям поступает в головной мозг 30% необходимого объема крови. Анатомия играет значительную роль в создании условий для сужения диаметра сосудов.
Позвоночная артерия ответвляется от подключичной ближе к центральной части внутреннего края лестничной мышцы на шее.
Важно, что до соседнего устья щитошейного ствола, тоже являющегося ветвью подключичной артерии, остается не более 1–1,5 см. Это создает дополнительный механизм «обкрадывания» (перераспределения крови) при гипоплазии или стенозе вертебральной артерии.
Направляясь вверх, артерия на уровне шестого шейного позвонка (реже — пятого) входит в защищенный костный канал, образованный остистыми отростками позвонков.
Принято выделять отделы или сегменты позвоночной артерии:
- I — весь участок от VI до II шейного позвонков, где сосуд выходит из отверстия;
- II — вне канала под углом 450 отклоняется кзади и идет к поперечному отростку первого шейного позвонка (атланту);
- III — пройдя сквозь отверстие атланта на его задней стороне артерия образует петли, их роль — предупреждение нарушения кровотока при повороте головы;
- IV — направляясь в большое затылочное отверстие, артерия находится внутри плотной связки, при окостенении вместилища или костных выростах на затылочной кости создаются условия для травматизации стенок сосуда во время движений в шейном отделе;
- V — внутри затылочного отверстия (интракраниальный сегмент) вертебральная артерия проходит сквозь твердую мозговую оболочку и укладывается на поверхность продолговатого мозга.
Слияние левой и правой артерий в единый ствол (базилярную артерию) обеспечивает участие в образовании виллизиева круга в основании мозга
Особенностью является компенсаторное развитие кровообращения за счет вертебральной артерии с одной стороны, если пережата другая симметричная ветка. Асимметрия кровотока по позвоночным артериям нивелируется перетеканием крови через базиллярную артерию в неповрежденную часть.
Причины
Развитие асимметрии кровотока может произойти по разным причинам. Обычно, данное явление возникает из-за сдавливания этих кровеносных сосудов.
К провоцирующим факторам возникновения патологического явления относятся:
Асимметрия возникает при дисфункции одной из пары артерий
- врожденное асимметричное развитие артерий — неравномерное развитие пары сосудов и приводит к асимметрии тока крови. Такая болезнь сегодня не поддается терапии;
- родовые травмы;
- извитость артерий — может быть врожденного либо приобретенного характера;
- нестабильность позвонков шейного сегмента;
- остеохондроз;
- формирование опухолевых образований, сдавливающих сосуды;
- межпозвонковые грыжи;
- травмы.
К группе риска находятся люди, чья профессиональная деятельность связана с постоянными физическими нагрузками, сидячей работой, а также спортсмены.
Какая анатомическая патология встречается чаще всего?
20% случаев патологии вертебральных артерий приходится на аномалии развития:
- отхождение непосредственно от аорты;
- вхождение в костный позвоночный канал выше обычного (на уровне третьего-пятого шейных позвонков);
- смещение устья в сторону кнаружи.
Чаще поражения носят комбинированный характер и делятся на следующие варианты:
- до 34% приходится на совместное действие аномалий развития и экстравазальную компрессию мышцами;
- 39% составляют стенозы атеросклеротической и тромботической природы;
- максимальную часть — 57% — представляют сдавления различными смещениями позвонков в сочетании с атеросклерозом.
Параметры желудочков в норме
Ширина увеличенных желудочков головного мозга у ребенка до года превышает 12-15 мм. В норме этот показатель составляет около 10 мм. У взрослого человека в желудочковой системе содержится около 120-150 мл ликвора, у младенца – около 50 мл.
Статистика показывает, увеличение объема цереброспинальной жидкости диагностируется у 2 новорожденных на 1 тысячу. Латеровентрикулоасимметрия может протекать бессимптомно, стоит ли беспокоиться и опасно ли это заболевание головного мозга, определит врач-невролог индивидуально в каждом случае.
Основные причины и связь с локализацией повреждения
Все причины патологии позвоночных артерий делят на 2 большие группы:
- вертеброгенные,
- невертеброгенные.
Вертеброгенные обусловлены воздействием изменений позвоночника. В детском возрасте наиболее часто встречаются:
- аномалии развития;
- травмы в шейном отделе (включая полученную в родах);
- патологическое спазмирование мышц при сильном переохлаждении, кривошее.
У взрослых имеется больше связей с заболеваниями позвонков:
- остеохондроз;
- болезнь Бехтерева;
- опухоли.
Травмы также имеют значение.
В сдавлении артерии принимают участие измененные боковые отростки позвонков
Невертеброгенные представлены тремя группами заболеваний:
- вызывающие стенозирование просвета артерий (воспалительные артерииты, тромбозы, атеросклероз, эмболии);
- способствующие нарушению формы и направления сосудов (перегибы, непрямолинейный ход от шестого до второго позвонка, повышенная извитость);
- как последствие сдавления снаружи (спазмированными мышцами, аномальными ребрами, рубцовой тканью в послеоперационном периоде).
Уровень сужения позвоночной артерии соотносится с причинами патологии.
Если компрессия происходит до места вхождения в костный канал, то это связано со спазмом лестничной мышцы, увеличенным звездчатым нервным узлом. Чаще встречается при аномальном расположении начального участка артерии. Здесь же находится максимально уязвимый участок для отложения атеросклеротических бляшек (70% случаев).
Внутри костного канала из поперечных отростков позвонков опасными для сосуда могут быть:
- увеличенные крючковидные отростки;
- подвывихи в позвоночных суставах, приводящие к защемлению одной или обеих артерий;
- последствия спондилоартроза, разрастания суставных поверхностей;
- грыжи диска (встречаются редко).
При выходе из канала артерии препятствуют:
- слишком глубокая борозда над верхним краем атланта, которая формирует дополнительный костный канал (аномалия Кимерли);
- прижатие к телам позвонков спазмированной нижней косой мышцей головы;
- атеросклеротические бляшки (установлено, что внечерепные отделы артерии чаще поражаются атеросклерозом, чем внутренние);
- повышенная извитость и дополнительные перегибы образуются чаще на уровне первого-второго шейных позвонков, обычно сочетаются с аналогичными изменениями подключичных и сонных артерий.
Основной причиной повышенной извитости, вызывающей непрямолинейность хода позвоночных артерий, является потеря эластических свойств стенкой сосуда при возрастных нарушениях в обмене коллагена, длительной гипертензии
Тромботические изменения в позвоночных артериях находят при аутопсии у 9% людей, перенесших сосудистые заболевания мозга. Как правило, им предшествует выраженный атеросклероз. Без атеросклеротических изменений тромбозу способствует развитие синдрома «обкрадывания» с обратными вихревыми потоками крови за счет подключичной артерии и других ее ветвей.
Общие сведения о заболевании
Асимметрия в области позвоночных кровеносных сосудов – это общее понятие, в которое входит вертебро-базиллярный синдром, то есть нарушение кровоснабжения головного мозга в результате дисфункции позвоночных артерий.
Из четырех крупных потоков, обеспечивающих кровоснабжение головного мозга, позвоночные реализуют сравнительно небольшой процент общего количества прогоняемой крови. Остальная более существенная часть приходится на долю сонных.
Асимметрия позвоночных артерий, возникающая в результате воздействия негативной этиологии, вызвана непроходимостью и неравномерностью кровотока в позвоночных артериях. Она возникает в результате уменьшения диаметра одной или нескольких из них. Уменьшение просвета ведет к невозможности снабжения головного мозга кислородом и питательными веществами. В результате этого появляются негативные симптомы.
Признаки синдрома позвоночных артерий сходны с симптомами других заболеваний, поэтому его распознавание требует тщательного диагностического процесса. Опасность состоит в том, что синдром является лишь частью общего патологического процесса, которым может быть:
- остеохондроз с сопутствующими негативными проявлениями;
- атеросклероз;
- новообразования;
- костные и хрящевые патологии позвоночного столба, приводящие к компрессии, сужению просвета и значительном ухудшению состояния человека.
Некоторые из патологий, вызывающие нарушенный кровоток и сопутствующие ему негативные симптомы, могут угрожать жизни. Они нуждаются в экстренном хирургическом вмешательстве.
Признаки, сопровождающие синдром позвоночной артерии, часто сходны с симптомами других заболеваний. У больного могут наблюдаться резкие скачки давления (повышение или понижение), высокое внутричерепное давление, боли в ушах и глазах, ухудшение зрения и слуха, жжение в области шеи.
Вместе с прогрессированием поражения могут появиться головокружения, предобморочные состояния, иногда обмороки, тошнота, реже – рвота, онемение пальцев и психоэмоциональные сбои. Мало кто связывает всю симптоматику, поэтому обращение к врачу происходит уже на поздней стадии развития, когда диаметр сосуда сужен значительно.
Любые негативные симптомы, свидетельствующие о наличии в организме патологии, не должны игнорироваться. Очень часто списываемое на переутомление и физическую нагрузку плохое самочувствие – сигнал организма о серьезном заболевании.
Предпосылки возникновения патологии условно делят на врожденные и приобретенные. Второй принцип деления – вертеброгенные или невертеброгенные. Вертеброгенные являются прямым следствием заболеваний позвоночника (болезнь Бехтерева, опухоли, травмы, остеохондроз). Невертеброгенные предполагают:
- наружное сдавливание (мышечный спазм, послеоперационные рубцы);
- заболевания сосудов, приводящие к изменению их естественного хода (перегибы, извитость);
- системные заболевания, вызывающие сосудистые патологии в виде тромбоза, атеросклероза, воспалительных артериитов.
Изучение причин ишемии головного мозга, показало, что наибольшее количество случаев приходится на патологии кровеносных сосудов, которые его снабжают. Позвоночные артерии, пережатые при воздействии патологических причин, могут стать причиной вегетососудистой дистонии, высокого внутричерепного давления и психических отклонений.
В группу риска возникновения заболевания попадают как те, у кого есть врожденные аномалии развития, так и те, кто пренебрежительно относится к своему здоровью. Большинство возможных провокаторов асимметрии возникает от системных нарушений жизнедеятельности организма, которые ведут к появлению хронических, часто неизлечимых заболеваний. Деструктивные процессы, патологии обмена веществ, сбои иммунной системы также приводят к появлению синдрома позвоночной артерии.
На начальной стадии заболевания помимо речевых и слуховых нарушений может возникнуть сбой в работе вестибулярного аппарата. В запущенном состоянии без должного лечения появляются приступы стенокардии, ведущие к инфаркту миокарда. Распространенность заболевания и появление его во все более молодом возрасте делают необходимой профилактику его появления.
Возникшая дисфункция глоточного рефлекса может стать причиной удушья и спазматической закупорки дыхательных путей. Патология работы стволовых клеток головного мозга вызывает приступы, дроп-атаки и потери сознания с внезапным падением на пол. Чем дольше оттягивается визит к врачу, процесс диагностирования и надлежащее лечение, тем хуже становятся проявления заболевания.
Принято считать, что аномальная работа позвоночных артерий не опасна, но это изначально ошибочное мнение. Формы данного синдрома в позвоночнике, в особенности асимметрия диаметра интракраниальных сегментов позвоночных артерий, способны привести к потере функциональности органов зрения и слуха, а также к полной инвалидизации пациента.
Как проявляется нарушенная проходимость позвоночных артерий?
Клинические признаки нарушения кровотока в вертебральных артериях зависят от таких факторов:
- состояние виллизиева круга;
- развитие сети коллатералей и анастомозов с подключичной артерией;
- темпы нарастания непроходимости.
Комбинация симптомов указывает на поражение определенной части мозга. Наиболее часто встречается ишемия бассейна:
- задней артерии мозга;
- зоны ствола или мозжечка (в остром и хроническом вариантах);
- ядер и черепных нервов, вызывающих вестибулярные расстройства.
Заболевание имеет кризовое течение. Вертебральные кризы проявляются многообразной симптоматикой. Чаще всего стимулируются движениями головы. Одновременно обнаруживается поражение плечевого сплетения и спинного мозга.
Синдром «шейной» мигрени сопутствует шейному остеохондрозу, спондилезу. Характеризуется:
- типичными болями в затылке и шее, иррадиирующими до надглазничной области;
- обмороками;
- головокружением;
- шумом в ушах.
Продолжительность болей колеблется от нескольких минут до часов
Вестибулярные кризы сопровождаются:
- выраженным головокружением, чувством вращения предметов;
- нистагмом глаз;
- нарушенным равновесием.
Атонически-адинамический синдром появляется при ишемии продолговатого мозга:
- резкое снижение тонуса мышц;
- невозможность самостоятельно стоять.
Зрительные расстройства из-за нарушения микроциркуляции глаз:
- пятна, точки, линии перед глазами;
- потемнение;
- преходящее выпадение полей зрения;
- ощущение вспышек в глазах (фотопсии), уменьшение видимых предметов (микропсии);
- оптические обманные феномены.
Реже возникают:
- Синдром преходящих тонических судорог в руках и ногах без потери сознания, при этом напрягаются мышцы-разгибатели и вытягиваются конечности. Симптом «перемежающейся хромоты» в руках наблюдается у 65% пациентов.
- Преходящие речевые расстройства, спазм жевательных мышц.
- Внезапное сокращение диафрагмы, что проявляется приступообразным кашлем, расширением зрачка на стороне поражения, повышенным слюноотделением, тахикардией.
Вне кризов невролог заметит у пациента отдельные негрубые очаговые симптомы, парез некоторых пар черепномозговых нервов.
Стадии и симптомы
Синдром позвоночной артерии имеет две стадии развития: начальную — дистоническую и органическую, когда уже начинаются серьёзные нарушения в кровообращении мозга.
Симптомы дистонической стадии, которую ещё называют стадией функциональных нарушений:
- Непроходящая головная боль. Обычно боль задевает затылочную и височную области, может быть ноющей либо пульсирующей. Усиливается при резкой смене положения головы, а также при быстрой ходьбе и в транспорте.
- Головокружения. На начальной стадии развития синдрома они проявляются в виде лёгкой неустойчивости, которая довольно быстро проходит.
- Шум и пульсирование в ушах. Могут возникать внезапные потери слуха на несколько секунд.
- Проблемы со зрением – потемнение в глазах, ощущение песка, вспышки и искры перед глазами, раздваивание окружающих предметов.
Симптомы органической, или ишемической стадии:
- Сильные головокружения, может нарушаться координация движений, случаются потери сознания.
- Резкие приступы тошноты, рвота.
- Онемение пальцев рук, ощущение озноба.
- Нарушения речи, паника, приступы раздражения.
Характеристика основных симптомов
Головные боли имеются у 73% больных. Носят стреляющий, стягивающий, пульсирующий характер.
Усиливаются:
- при пальпации шейных позвонков;
- после сна в неудобной позе;
- в результате местного охлаждения.
Головокружение чаще беспокоит утром после сна, сопровождается нарушенным слухом, зрением, ощущением шума в голове.
Такой признак, как шум в ушах, у большинства больных ощущается с обеих сторон.
При одностороннем шуме он указывает на сторону поражения
Характерно усиление высоты слышимого шума при начале сосудистого криза и его понижение в межприступном периоде. Пациенты отмечают изменение в течение дня при остеохондрозе (усиливается ночью).
Онемение наблюдается на коже шеи, вокруг рта, на руках.
Обморочные состояния провоцируются переразгибанием головы назад. Обычно им предшествуют другие перечисленные проявления.
Тошноту и рвоту считают предвестниками криза.
Длительное течение заболевания вызывает психические изменения у пациентов, сопровождается депрессией.
Какие у такого симптомы наблюдаются симптомы?
Если у человека наблюдается межполушарная сильная асимметрия, то симптоматика бывает разной, многое зависит от степени тяжести недуга и индивидуальных особенностей человеческого организма. Также имеет значение какая сторона поражена — d или s, где нарушено кровоснабжение. Однако, в большинстве случаев, при нарушении кровообращения,ощущения, которые испытывают люди, носят следующий характер:
- голова очень сильно болит, причем болевые ощущения могут наблюдаться в разных головных участках. Очень важно заметить, что боль бывает такой сильной, что терпеть просто невозможно. Однако, в большинстве случаев локализация боли находится в области затылка, однако она отдает и в иные отделы;
- артериальное давление сильно скачет, причем в основном оно повышается;
- в ушах время от времени ощущается шум или звон, и это ощущение носит очень неприятный характер;
- голова у человека сильно кружится, это сопровождается сильной тошнотой, которая порой может вылиться в рвоту в тяжелой форме;
- человек может неожиданно падать в обморок;
- шейная область у человека постоянно находятся в напряжении, её мышцы скованы, все это усугубляется сильными болевыми ощущениями;
- зрительное восприятие у человек становится существенно хуже, а в ухе человек ощущает чувство определенного давления, причем это чувство носит неприятный характер. Бывает так, что все эти признаки негативного характера поражают только одну сторону головы, а бывает, что страдает и вся голова.
Опасность такой болезни заключается ещё и в том, что нарушения организма носят не только физиологический, но и психический характер, то есть у человека со временем начинаются неотвратимые изменения в психическом состоянии. Человек постоянно испытывает чувство сильного раздражения, при этом причин нет никаких. Также можно говорить о чувстве сильного и постоянного страха, для которого также нет никаких веских оснований. Настроение у человек постоянно меняется, причем очень быстро — только что человек было вполне комфортно, как вдруг без видимых на то причин, настроение у него падает до нуля. Плохо то, что при подавленном состоянии психики, самочувствие начинает ухудшаться ещё быстрее, объясняется это тем, что сосуды регулярно спазмируются.
Для того, чтобы провести качественную диагностику, необходимо пройти тщательное обследование, в противном случае точный диагноз получить практически невозможно. Диагностика очень нелегкая во многом потому, что есть целый ряд недугов, которые имеют схожие симптомы, при том, что они никакого отношения к проблемам позвоночника не имеют.
В чем опасность нарушений?
Нарушенная проходимость позвоночных артерий в итоге вызывает ишемию разных участков головного мозга. Сосудистые кризы представляют собой варианты транзиторных ишемических атак. Отсутствие внимания к симптоматике и неправильное лечение способствуют в скором времени развитию «полноценного» ишемического инсульта с неблагоприятными последствиями: парезами, параличами, нарушением речи, зрения.
Пропустить важные симптомы означает обречь больного на инвалидность и собственную беспомощность. Восстановление после инсульта дается не каждому и требует больших усилий.
Норма лск по сонным артериям
Из этой статьи вы узнаете: какие существуют варианты развития Виллизиева круга, что это такое, какие артерии входят в его состав. Виллизиев круг сокращенно ВК — это система анастомозов соединений между сосудами кровеносных сосудов, размещенная в основании головного мозга. Он обеспечивает важное соединение между системами внутренних сонных артерий и вертебробазилярным бассейном. В состав ВК входят несколько артерий, которые, соединяясь между собой, образуют круг. В большинстве случаев этот круг замкнут, но у некоторых людей может отсутствовать один из сосудов, из-за чего он становится разомкнутым.
Как выявить патологию вертебральных артерий?
По наличию симптоматики, определению ее связи с движениями шеи подозрение о патологии вертебральных артерий возникает у врача общей практики или у терапевта. Вовремя направить к неврологу и на обследование — дело опыта.
Дуплексное сканирование позволяет увидеть структуру сосуда, определить характер стеноза, степень повреждения стенок артерии
Основные методы:
- ультразвуковая допплерография — проводится оценка всех анатомических характеристик позвоночных артерий с обеих сторон, диаметра на протяжении, скорости волны кровотока, важна как способ определения резерва мозгового кровообращения;
- магниторезонансная томография головного мозга и сосудов шеи укажет на возникшие очаги с нарушенным кровоснабжением, образование кист, аневризм;
- по рентгенограмме шейного отдела позвоночника можно судить об участии патологических разрастаний костной ткани в защемлении вертебральных артерий;
- ангиография сосудов шеи проводится путем введения контрастного вещества в подключичную артерию. Методика информативна, но проводится только в специализированных отделениях.
Спазм сосудов головного мозга
Пожилых людей, лиц среднего и мозгового возраста часто беспокоит головная боль, шум и головокружение, повышенная утомляемость, ухудшение памяти, снижение работоспособности. Зачастую пациенты не очень серьезно относятся к таким жалобам. Между тем это могут быть признаки вазоспазма в левых мозговых артериях, СМА (средней мозговой артерии) и ПМА (передней мозговой артерии). Церебральный вазоспазм (сужение просвета артерий основания мозга после субарахноидального кровоизлияния при разрыве мешковидной аневризмы) может вторично вызвать ишемию мозга.
После разрыва аневризмы у пациента наступает временный период улучшения или стабилизации состояния до момента возникновения у него симптоматического вазоспазма. Неврологические симптомы спазма церебральных с четвёртого по четырнадцатый день после первого разрыва аневризмы. Возникшая неврологическая симптоматика соответствует ишемии мозга в специфических артериальных бассейнах. Выраженность церебрального вазоспазма определяет степень вероятности развития ишемии и инфаркта мозга.
Признаки вазоспазма в левых артериях мозга, СМА и ПМА часто возникают у тех пациентов, у которых на ранней магниторезонансной или компьютерной томографии головного мозга определялись слои свернувшейся крови толщиной 1 мм и больше в бороздах мозга или шарообразные сгустки крови размерами больше 5 мм3 в базальных цистернах.
Локализацию и тяжесть вазоспазма в ПМА и СМА врачи Юсуповской больницы определяют с помощью магниторезонансной или компьютерной томографии. Чтобы прогноз был точным, компьютерную томографию головного мозга проводят в интервале от 24 до 96 ч после субарахноидального кровоизлияния.
Клинически выраженный церебральный вазоспазм проявляется симптоматикой, которая относится к тому или иному бассейну кровоснабжения головного мозга определённой артерии. При вовлечении ствола или основных ветвей средней мозговой артерии (СМА) у пациента развиваются следующие симптомы:
- Контралатеральный гемипарез – слабость мышц половины туловища с противоположной от внутримозгового кровоизлияния стороны;
- Дисфазия – нарушение речи при спазме артерий доминантного полушария головного мозга;
- Анозогнозия, апрактоагнозия – расстройство узнавания при спазме артерий недоминантного полушария головного мозга.
Признаки вазоспазма в левых артериях мозга, СМА и ПМА могут не быть выраженными из-за того, что в головном мозге формируется коллатеральный кровоток через сращения зон смежного мозгового кровоснабжения.
Ишемия вследствие вазоспазма ПМА проявляется абулией. Пациент находится в бодрствующем состоянии, лежит с закрытыми или открытыми глазами, с запаздыванием реагирует на инструкции. Он не может активно вести беседу, но на вопросы отвечает короткими фразами, которые произносит шёпотом, длительно пережёвывает пищу и часто удерживает её между дёснами и щекой. Все очаговые неврологические симптомы в результате церебрального вазоспазма у пациентов могут возникать внезапно, достигая максимальной выраженности в течение нескольких минут, или развиваются на протяжении нескольких дней.
Если ишемии или инфаркту подвергается вся территория мозга в бассейне СМА (средней мозговой артерии), то развивается его отёк, который может привести к повышению внутричерепного давления. Ранняя магниторезонансная или компьютерная томография головного мозга позволяют предсказать неблагоприятный исход, если обнаруживается крупный сгусток крови в сильвиевой цистерне или в просвете сильвиевой щели и второй значительный сгусток в базальной фронтальной щели, расположенной между полушариями мозга. Одновременное присутствие свернувшейся крови в этих областях сочетается с выраженным симптоматическим спазмом СМА и ПМА. В подобной ситуации поверхностные коллатерали в коре головного мозга от ПМА не в состоянии компенсировать ишемию в бассейне СМА.
Если спазм артерий головного мозга возникает на фоне субарахноидального кровоизлияния, медикаментозная профилактика и лечение неэффективно.
Поскольку у пациентов с церебральным вазоспазмом отмечается увеличение объёма крови и отёк паренхимы головного мозга, то даже незначительное увеличение внутричерепного объёма, которое происходит при воздействии вазодилататоров, может усугубить неврологические расстройства. Если у пациента установлен выраженный симптоматический церебральный вазоспазм, неврологи не назначают вазодилататоры.
Все усилия врачей направлены на увеличение мозгового перфузионного давления путём повышения среднего артериального давления. Достигается это увеличением объёма плазмы и назначением вазопрессорных препаратов (фенилэфрина, допамина). Поскольку лечение, направленное на увеличение перфузионного давления, приводит к улучшению картины неврологического статуса у некоторых больных, но высокое артериальное давление сопряжено с риском повторного кровоизлияния, при применении данного метода лечения неврологи Юсуповской больницы определяют давление церебральной перфузии и минутный сердечный выброс, проводят прямое исследование центрального венозного давления. В тяжёлых случаях у пациента измеряют внутричерепное давление и давление заклинивания лёгочной артерии.
Введение осмотического диуретика маннитола при поддержании адекватного внутрисосудистого объёма и среднего артериального давления увеличивает осмолярность сыворотки крови пациента. В тяжёлом случае для снижения внутричерепного давления используют барбитуратную кому.
Способы лечения
Одним из несложных способов лечения является постоянное ношение воротника Шанца. Кстати, он используется и для диагностики: если на фоне применения воротника пациент чувствует улучшение, это подтверждает связь с патологией позвоночных артерий.
Значение ЛФК и массажа
А еще советуем почитать:Цветное дуплексное сканирование брахиоцефальных артерий
Редкие сосудистые кризы позволяют в лечении обойтись без сильнодействующих медикаментов. Для этого необходимо овладеть упражнениями лечебной физкультуры и массажными приемами.
Движения следует делать осторожно, в медленном темпе:
- повороты головы в стороны, сначала с небольшой амплитудой, постепенно увеличивая ее;
- давление на мяч лбом;
- кивки головой;
- пожимание плечами.
Массаж не проводится в остром периоде. Его основная задача — снять напряжение шейных мышц и уменьшить давление на артерии. Не рекомендуется доверять процедуру неопытному человеку.
Лечение медикаментами
В зависимости от причины сужения врач выбирает препараты:
- противовоспалительного действия (Нимесулид, Кеторол, Найзилат);
- для поддержания сосудистого тонуса понадобится Троксерутин и группа венотоников;
- предупредить тромбообразование можно с помощью Курантила, Трентала;
- при головокружении и вестибулярных расстройствах показаны Бетасерк, Бетагистин;
- для защиты мозга от ишемии необходимы нейропротекторы (Мексидол, Пирацетам, Глиатиллин).
Физиотерапевтические методики имеют те же цели, что и массаж, способствуют обезболиванию. Назначаются курсы:
- магнитотерапии,
- диадинамических токов,
- фонофореза с гидрокортизоном.
Иглорефлексотерапию и вытяжение можно применять только в специализированных центрах.
ЛФК особенно показана при сидячей работе
Признаки увеличенных размеров
В период внутриутробного развития нарушения отчетливо просматриваются в ходе ультразвукового исследования, которое проводится в 3 триместре беременности. Взрослым пациентам назначается обследование при появлении признаков патологии. Симптомы нарушения движения ликвора с последующим повышением значений внутричерепного давления у взрослых:
- Устойчивые боли преимущественно в затылочной области головы, усиливающиеся в утренние часы, уменьшающиеся днем и затихающие вечером.
- Зрительная дисфункция с прогрессирующим течением.
- Приступы тошноты, часто сопровождающиеся рвотой.
- Застойные, отечные диски зрительных нервов (выявляется в ходе офтальмологического обследования).
- Неврозы, чувство тревоги, фобии.
Симптоматика расширяется за счет симптомов первичного заболевания, которое привело к состоянию, когда увеличены желудочки головного мозга у грудничка или взрослого. Нередко наблюдаются парезы, расстройство чувствительности, ухудшение когнитивных способностей, двигательная дисфункция. Если желудочки при увеличении размеров сдавливают окружающие ткани, возможно появление признаков дислокации мозговых структур.
Патологический процесс проявляется расстройством сознания (в тяжелых случаях комой), нарушением деятельности дыхательной и сердечно-сосудистой системы, деменцией (слабоумием), апатичным состоянием. Расширение желудочков головного мозга у новорожденных нередко приводит к повышению показателей внутричерепного давления. Состояние проявляется симптомами:
- Ускоренный рост (увеличение объемов) головы.
- Выпячивание, выпуклость родничка.
- Расхождение естественных швов между черепными костями.
- Склонность к срыгиванию, фонтанообразные приступы рвоты.
- Выраженная, отчетливо видная сеть вен под кожей черепа.
Состояние паталогического расширения боковых желудочков головного мозга у грудного ребенка может дополняться такими признаками, как запрокидывание головы, отказ от еды, беспокойство, нарушение сна, частый плач, тремор (дрожание) конечностей и подбородка. Малыши становятся вялыми и заторможенными. У детей старшего возраста наблюдается частая, быстрая смена настроения, отставание в умственном развитии, малая физическая активность, склонность к ожирению.
Когда необходимо оперативное вмешательство?
Первая операция по реконструкции вертебральной артерии проведена в 1956 году, а в 1959 году впервые был извлечен тромб из подключичной артерии с захватом русла позвоночного сосуда.
О показаниях к операции судят по результатам консервативной терапии. Если проводимое лечение неэффективно, а также при установленной причине, связанной со сдавлением артерии опухолью, отростком позвонка, обойтись без хирургического вмешательства невозможно.
Оперируют пациентов в нейрохирургических отделениях. Производят удаление костных образований, опухоли, симпатических узлов (для устранения излишнего спазма).
Устранить аномальную извитость возможно только при ее локализации в I сегменте.
Диагностика
Во время диагностирования специалист производит опрос пациента, в частности интересуется о наличии каких-либо симптомов, хронических заболеваниях. Также врач производит осмотр и пальпацию затылка и кожи головы, на наличие напряженности мышц и возникновения болезненных ощущений.
Для подтверждения диагноза проводится ультразвуковая допплерография, при помощи которой производится осмотр кровеносных сосудов головы (определяется диаметр всей протяженности артерий, скорость кровотока). Также возможно проведение рентгенографии, а при подозрении возможности обострения состояния может быть назначено МРТ мозга головы. По результатам данных обследований будет приниматься решение о терапии и госпитализации пациента.
Для назначения эффективного лечения необходимо определить участок (сегмент) сосуда, в котором происходит ухудшение кровотока, для этого кроме вышеперечисленных обследований также может быть назначена ангиография.
Профилактика кризов
При установленном диагнозе пациент в состоянии предупредить сосудистые кризы. Для этого необходимо:
- заниматься гимнастическими упражнениями;
- отучить себя спать на животе;
- проходить не реже двух раз в год курсы физиотерапии и массажа;
- приобрести ортопедическую подушку для обеспечения ровного положения шейного отдела позвоночника во время сна;
- носить воротник Шанца;
- избавиться от факторов сужения артерий (курения, приема алкоголя).
Клиника инсульта не обязательно вызывается внутримозговыми сосудами. Экстракраниальные нарушения всегда следует иметь в виду при постановке диагноза и назначении лечения. Такая тактика позволяет предупредить опасные для жизни осложнения.
Профилактические меры
Проблема применения профилактических мер при гипоплазии позвоночной артерии связана с тем, что фактически предупредить развитие патологи и не представляется возможным на данный момент.
Для того чтобы снизить возможность появления такой патологии беременным женщинам следует придерживаться определенных правил во время вынашивания плода:
- отказаться от вредных привычек, в том числе употребления наркотических средств, алкоголя и курения;
- провести соответствующее обследование на наличие TORCH-инфекций;
- ограничить сильные физические нагрузки;
- избегать стрессовых ситуаций и сильного психоэмоционального напряжения;
- следить за уровнем витаминов и всех полезных веществ;
- сбалансировано и полноценно питаться.
Миллионы людей на данный момент живут с гипоплазией позвоночных артерий, даже не догадываясь о наличие данной патологии. Именно поэтому это заболевания нельзя считать смертельным приговором. Но к нему следует серьезно относиться, особенно тем людям, у которых болезнь вызывает определенные симптомы и влияет на их жизнедеятельность.
Людям, у которых данный диагноз уже поставлен, также следует не забывать постоянно следить за состоянием своего здоровья, чтобы вовремя обнаружить момент, когда может начаться прогрессирование патологии. Именно поэтому рекомендуется периодически сдавать анализы, проходит обследование, измерять уровень артериального давления и принимать медикаментозные средства для устранения симптоматики болезни. Выполнение всех рекомендаций врача может предотвратить необходимость проведения хирургического вмешательства.
