Полисегментарная пневмония у взрослых — серьезное воспаление легочной ткани, при котором инфекция охватывает несколько сегментов легких. Это состояние может быть вызвано различными микроорганизмами и требует тщательной диагностики и лечения. В статье рассмотрим основные аспекты полисегментарной пневмонии: ее заразность, возможные осложнения и методы лечения. Эти факторы помогут читателям лучше понять заболевание и вовремя обратиться за медицинской помощью.
Полисегментарная пневмония у взрослых – что это?
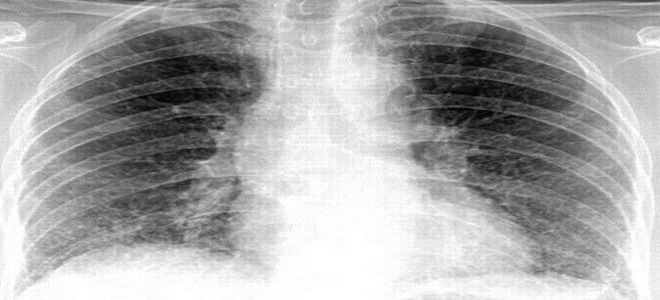
Сегментарная пневмония представляет собой воспалительный процесс в легочной ткани, затрагивающий один или несколько сегментов. Если на рентгеновском снимке выявляется множество таких участков, это указывает на развитие полисегментарной пневмонии. Этот вид заболевания, как правило, имеет бактериальную природу и чаще всего встречается у детей.
Тем не менее, вирус, вызвавший пандемию COVID-19, также может вызывать аналогичные изменения в легких. Двусторонняя полисегментарная пневмония является характерным клиническим проявлением коронавирусной инфекции. При этом, помимо изменений в легочной ткани, наблюдаются и другие специфические симптомы, что способствует более точной диагностике заболевания.
Полисегментарная пневмония у взрослых представляет собой воспаление легочной ткани, затрагивающее несколько сегментов легких одновременно. Эксперты отмечают, что данное заболевание часто возникает как осложнение вирусных инфекций, таких как грипп, и может быть вызвано различными патогенами, включая бактерии и грибки. Лечение полисегментарной пневмонии требует комплексного подхода. Врачи рекомендуют начинать с антибиотикотерапии, особенно если заболевание вызвано бактериальной инфекцией. Также важна поддерживающая терапия, включая кислородотерапию и противовоспалительные препараты. Специалисты подчеркивают, что ранняя диагностика и своевременное лечение значительно повышают шансы на быстрое выздоровление и минимизируют риск осложнений. Регулярные обследования и вакцинация против гриппа и пневмококка также играют ключевую роль в профилактике данного заболевания.
https://youtube.com/watch?v=nSy3wQ3n39g
Что вызывает полисегментарную пневмонию?
Воспалительный процесс в легких возникает в результате попадания в дыхательные пути патогенных бактерий. Согласно данным диагностических исследований, причины полисегментарной пневмонии тесно связаны с присутствием следующих микроорганизмов в дыхательной системе:
- пневмококк;
- стрептококк;
- гемофильная палочка;
- стафилококк;
- пиогенный стрептококк.
Также выделяются атипичные возбудители полисегментарной пневмонии:
- хламидии;
- легионелла;
- микоплазма.
Важную роль в развитии сегментарной пневмонии играют вирусы. В текущей эпидемиологической ситуации одной из наиболее распространенных причин легочных заболеваний является коронавирус. Тем не менее, существует и множество других вирусов, способных спровоцировать полисегментарную пневмонию:
- грипп;
- парагрипп;
- аденовирус.
| Аспект | Описание | Лечение |
|---|---|---|
| Что это? | Воспаление легочной ткани, поражающее несколько сегментов одного или обоих легких. Часто протекает тяжелее, чем односегментарная пневмония. | Антибиотикотерапия (широкого спектра, затем по результатам посева), противовирусные (при вирусной этиологии), противогрибковые (при грибковой этиологии). |
| Причины | Бактериальные (пневмококк, стафилококк, клебсиелла), вирусные (грипп, COVID-19), грибковые инфекции, аспирация, иммунодефицитные состояния. | Симптоматическая терапия: жаропонижающие, муколитики, отхаркивающие средства. |
| Симптомы | Высокая температура, озноб, кашель (с мокротой или сухой), одышка, боль в груди, общая слабость, интоксикация. | Кислородотерапия (при гипоксемии), инфузионная терапия (для детоксикации и поддержания водно-электролитного баланса). |
| Диагностика | Рентгенография легких (выявляет инфильтративные изменения в нескольких сегментах), КТ легких (более точная локализация и оценка распространенности), общий анализ крови (лейкоцитоз, повышение СОЭ), биохимический анализ крови (повышение С-реактивного белка), посев мокроты (для определения возбудителя и его чувствительности к антибиотикам). | Физиотерапия (дыхательная гимнастика, массаж грудной клетки после купирования острого процесса), лечебная физкультура. |
| Осложнения | Плеврит, эмпиема плевры, абсцесс легкого, сепсис, острая дыхательная недостаточность, кардиогенный шок. | В тяжелых случаях – госпитализация в реанимационное отделение, ИВЛ, хирургическое вмешательство (при абсцессах, эмпиеме). |
| Профилактика | Вакцинация (от гриппа, пневмококка), отказ от курения, укрепление иммунитета, своевременное лечение хронических заболеваний. | Реабилитация после выписки: дыхательная гимнастика, санаторно-курортное лечение. |
Интересные факты
Вот несколько интересных фактов о полисегментарной пневмонии у взрослых:
-
Множественные очаги воспаления: Полисегментарная пневмония характеризуется наличием воспалительных очагов в нескольких сегментах легких. Это может быть связано с различными инфекциями, включая вирусные и бактериальные, а также с аспирацией или аллергическими реакциями.
-
Диагностика и лечение: Для диагностики полисегментарной пневмонии часто используются рентгенография и компьютерная томография легких. Лечение может включать антибиотики, противовирусные препараты и поддерживающую терапию, такую как кислородотерапия, в зависимости от причины заболевания и состояния пациента.
-
Риск осложнений: Полисегментарная пневмония может привести к серьезным осложнениям, таким как плеврит, абсцесс легкого или дыхательная недостаточность. Поэтому важно своевременно обращаться за медицинской помощью и следовать рекомендациям врача для предотвращения ухудшения состояния.
https://youtube.com/watch?v=LjAhuxQBtxE
Признаки двухсторонней полисегментарной пневмонии
Симптоматика данного заболевания напоминает обычное воспаление легких. Признаки полисегментарной пневмонии можно выявить только с помощью рентгенологического исследования (рентгенографию легких или компьютерную томографию). Что касается внешних проявлений, то заболевание начинается резко. Температура тела может достигать 38–39 градусов, также наблюдаются выраженные симптомы интоксикации:
- повышенная потливость;
- чувство усталости;
- мышечные боли;
- головные боли;
- учащенное сердцебиение.
На 2-3-й день у пациента возникает сухой, непродуктивный кашель. Боль в грудной клетке и в области эпигастрия также беспокоит больного. Правосторонняя полисегментарная пневмония чаще вызывает дискомфорт именно с правой стороны. При быстром прогрессировании заболевания и отсутствии адекватного лечения может развиться дыхательная недостаточность. Симптомы постепенно уменьшаются, однако изменения на рентгенограмме могут оставаться заметными в течение 2-3 недель.
Стадии полисегментарной пневмонии
В процессе развития заболевания можно выделить несколько этапов. Пульмонологи описывают проявления полисегментарной пневмонии следующим образом:
- 1–3-й день – наблюдается повышение температуры, общая слабость, головные боли, мышечные боли и сухой кашель;
- 4–6-й день – усиливаются симптомы интоксикации, ухудшаются показатели дыхания, может возникнуть одышка;
- 7–14-й день – симптомы начинают ослабевать, температура тела приходит в норму, общее состояние пациента улучшается.
https://youtube.com/watch?v=6wf0yeC0ONw
Заразна полисегментарная пневмония или нет?
Полисегментарная пневмония относится к группе респираторных заболеваний. Это подразумевает, что инфекция передается воздушно-капельным путем. В связи с этим, отвечая на вопросы пациентов о том, является ли полисегментарная пневмония заразной, врачи подчеркивают высокий риск инфицирования при взаимодействии с заболевшим.
Особое внимание стоит уделить полисегментарной пневмонии, вызванной коронавирусом: из-за ее высокой контагиозности заболевание может развиться даже после кратковременного контакта с инфицированным. Выделение вируса происходит в следующих случаях:
- при кашле;
- во время чихания;
- в процессе разговора.
Полисегментарная пневмония – лечение
Каждый случай пневмонии требует индивидуального подхода. Врачи определяют, как и чем лечить двухстороннюю полисегментарную пневмонию, основываясь на результатах лабораторных анализов. В первую очередь необходимо выяснить, какой именно возбудитель вызывает заболевание: бактериальный или вирусный. В зависимости от этого подбираются соответствующие препараты для этиологической терапии (антибиотики или противовирусные средства). Основные цели лечения заключаются в следующем:
- уничтожении возбудителя инфекции;
- устранении дыхательной недостаточности;
- снижении уровня интоксикации организма;
- рассасывании воспалительных очагов в легких.
При выраженной обструкции дыхательных путей, которая проявляется затрудненным дыханием и одышкой, необходимо проводить ингаляции и оксигенацию. Для улучшения отхождения мокроты из легких рекомендуется использовать бронхолитики и муколитики. Комплексное лечение может также включать следующие группы лекарственных средств:
- глюкокортикостероиды;
- седативные препараты;
- антигистаминные средства.
Ингаляция при полисегментарной пневмонии
Для устранения воспалительного процесса и облегчения дыхания специалисты рекомендуют использовать Пульмикорт при полисегментарной пневмонии. Данный препарат вводится в организм через ингаляции. Он относится к группе глюкокортикостероидов, которые применяются при заболеваниях дыхательных путей с целью снижения отека слизистой оболочки. Кроме того, это средство способствует уменьшению выработки слизи, образованию мокроты и снижению активности дыхательной мускулатуры.
Благодаря применению данного лекарства удается сократить количество приступов кашля и устранить обструкцию дыхательных путей. Начальная доза составляет 1-2 мг в сутки. При тяжелых обострениях и наличии одышки дозировка может быть увеличена по индивидуальным показаниям. Перед проведением ингаляций препарат необходимо предварительно развести физиологическим раствором.
Цефтриаксон при полисегментарной пневмонии
При бактериальной пневмонии основным методом лечения являются антибиотики. На рынке представлено множество препаратов этой группы. Выбор конкретного средства должен основываться на результатах бактериологического анализа, который помогает определить возбудителя инфекции. Если говорить о том, какие антибиотики чаще всего назначаются при полисегментарной пневмонии, то в большинстве случаев врачи отдают предпочтение макролидам и цефалоспоринам. Одним из представителей последней группы является Цефтриаксон.
Этот полусинтетический антибиотик относится к третьему поколению цефалоспоринов. Он обладает широким спектром действия и высокой бактерицидной активностью, подавляя синтез клеточных мембран бактерий, что приводит к их уничтожению. Дозировка и частота приема назначаются врачом индивидуально, в зависимости от тяжести симптомов и общего состояния пациента. Обычно назначают от 1 до 2 граммов антибиотика в сутки с интервалом в 24 часа. В более тяжелых случаях дозу могут увеличить до 4 граммов в сутки.
Дексаметазон при полисегментарной пневмонии
При остром двухстороннем полисегментарном воспалении легких, вызванном коронавирусом, в комплексное лечение часто включают Дексаметазон. Этот кортикостероид обладает мощным противовоспалительным эффектом. Препарат способствует быстрому уменьшению отека, что облегчает процесс дыхания. Поэтому его часто назначают пациентам с COVID-19, у которых наблюдается одышка.
Дексаметазон принимается перорально, а в тяжелых случаях возможно его введение внутривенно или внутримышечно. Дозировка определяется в зависимости от степени тяжести состояния пациента и клинической картины. Лечение обычно начинается с 0,5–0,9 мг Дексаметазона, с последующим увеличением дозы до достижения необходимого терапевтического результата.
Левофлоксацин при полисегментарной пневмонии
При выборе эффективных антибиотиков для лечения полисегментарной пневмонии, вызванной коронавирусной инфекцией, специалисты отмечают высокую эффективность фторхинолонов. Левофлоксацин является одним из представителей этой группы антибактериальных препаратов. Его действие основано на блокировке синтеза ДНК у патогенных микроорганизмов, что приводит к значительным морфологическим изменениям в цитоплазме, клеточной стенке и мембранах микробов.
Врачи подбирают оптимальные дозы антибиотика, исходя из тяжести заболевания, клинической картины и общего состояния пациента. Левофлоксацин принимается внутрь 1-2 раза в день, желательно перед приемом пищи, запивая большим объемом воды. Курс лечения обычно составляет от 10 до 14 дней, но при необходимости может быть продлен.
Клацид при полисегментарной пневмонии
Эффективное лечение приполисегментарной пневмонии включает в себя применение макролидов. Одним из таких препаратов является Клацид. Этот полусинтетический антибиотик обладает антибактериальными свойствами благодаря воздействию на рибосомальные субъединицы бактерий. Подавляя синтез белка в микробной клетке, препарат приводит к уничтожению патогенных организмов.
Антибиотик принимается внутрь. Врачи подбирают оптимальную дозировку, основываясь на клинических проявлениях и особенностях заболевания. Лекарственное средство доступно в форме порошка для приготовления суспензии. Для этого во флакон добавляется остывшая кипяченая вода до указанного уровня, затем флакон плотно закрывается и тщательно встряхивается. Приготовленную суспензию следует хранить при комнатной температуре и перед каждым использованием хорошо взбалтывать.
Ксарелто при полисегментарной пневмонии
При анализе медикаментов для терапии полисегментарной пневмонии, вызванной коронавирусной инфекцией, среди антибиотиков, противовирусных и противовоспалительных средств можно выделить Ксарелто. Этот препарат влияет на функционирование системы свертывания крови, что позволяет значительно уменьшить вероятность тромбоэмболии — одного из основных осложнений COVID-19. В общем, Ксарелто может применяться для:
- предотвращения инсультов и системной тромбоэмболии у пациентов с фибрилляцией;
- лечения тромбозов глубоких вен и артерий, а также для профилактики тромбоэмболии легочной артерии.
Данное лекарство назначается сразу после подтверждения коронавирусной инфекции. Дозировка определяется на основе результатов коагулограммы. В сутки пациентам с COVID-19 рекомендуется принимать 10–15 мг препарата. Курс лечения составляет 28 дней, по завершении которого проводится контрольный анализ.
Полисегментарная пневмония – лечение народными средствами
Лечение тяжелой пневмонии осуществляется в стационарных условиях. Если у пациента отсутствуют риски и его общее состояние удовлетворительное, то возможно лечение полисегментарной пневмонии в домашних условиях. Для ускорения выздоровления, уменьшения отечности и борьбы с инфекцией можно использовать народные средства. Однако перед применением любого рецепта обязательно нужно проконсультироваться с лечащим врачом. Вот несколько примеров рецептов для борьбы с пневмонией:
Настой корней алтея
Ингредиенты:
- корни алтея – 1 столовая ложка;
- вода – 100 мл.
Приготовление и применение:
- Залить сырье остывшей кипяченой водой.
- Настоять в течение 1 часа.
- Процедить и принимать по 1 столовой ложке 4–6 раз в день с интервалом в 2 часа.
Настой мать-и-мачехи
Ингредиенты:
- листья мать-и-мачехи – 2 чайные ложки;
- вода – 200 мл.
Приготовление и применение:
- Залить листья кипятком и накрыть крышкой.
- Настоять на водяной бане 15 минут.
- Остудить, процедить и принимать вместо обычной воды в течение дня небольшими порциями.
Лечение полисегментарной пневмонии барсучьим жиром
В поисках информации о том, как лечится полисегментарная пневмония, можно наткнуться на данные о пользе барсучьего жира. При внутреннем применении это средство обладает заметным иммуномодулирующим и бактерицидным действием. Однако перед началом использования обязательно стоит проконсультироваться с врачом, так как барсучий жир противопоказан людям с заболеваниями желудочно-кишечного тракта.
При пневмонии народное средство можно применять в его натуральном виде. Рекомендуется принимать по 2-3 чайные ложки жира в день. Чтобы смягчить неприятный вкус и горечь, его можно смешивать с соком или вареньем. Также возможно растворение одной порции жира в теплом молоке. Прием лекарства следует осуществлять за час до еды, 2-3 раза в день. Длительность курса лечения определяется врачом индивидуально.
Полисегментарная пневмония – осложнения
Врачи уделяют особое внимание пациентам с диагнозом полисегментарная пневмония, так как последствия этого заболевания могут проявляться спустя длительное время. Сразу после перенесенной болезни пациенты часто испытывают выраженную слабость, усталость и дискомфорт в области грудной клетки. Левосторонняя полисегментарная пневмония может вызывать остаточные боли с левой стороны груди, которые важно отличать от сердечных болей. При этом изменения в легочной ткани могут привести к необратимым последствиям. Полисегментарная двухсторонняя пневмония нередко вызывает:
- пневмосклероз;
- абсцесс легкого;
- бронхоэктаз;
- серозный плеврит;
- эмпиому плевры.
Полисегментарная пневмония – реабилитация
Восстановление организма после перенесенной пневмонии требует значительного времени, зачастую это занимает несколько месяцев. Остаточные симптомы могут вызывать дискомфорт у пациента, поэтому реабилитация после полисегментарной пневмонии становится особенно актуальной. Интоксикация и недостаток кислорода могут привести к нарушениям в функционировании внутренних органов и систем. Комплекс мероприятий по восстановлению может включать следующие физиотерапевтические процедуры:
- электрофорез;
- вибромассаж;
- дыхательная гимнастика.
Гимнастика при полисегментарной пневмонии
Для ускорения восстановления легочной ткани и предотвращения фиброза врачи рекомендуют выполнять специальные упражнения при полисегментарной пневмонии. Комплекс дыхательной гимнастики может включать следующие упражнения:
- Опора на локти. Лежа на животе, на вдохе поднимите грудную клетку, затем расслабьтесь и выдохните.
- Лежа на спине, согните ноги в коленях, руки вытяните вдоль тела. На вдохе одновременно поднимите руки вверх, а стопы оттяните на себя. При опускании рук вниз, стопы верните на пол.
- Кисти рук разместите на плечах, локти разведите в стороны, делая вдох. На выдохе опустите локти и прижмите их к грудной клетке.
Полисегментарная пневмония – смертность
Воспалительные процессы в легочной ткани могут привести к хронической дыхательной недостаточности. Полисегментарная пневмония, затрагивающая оба легких и не получающая должного лечения, может стать причиной летального исхода. По данным Всемирной организации здравоохранения, каждый 64-й пациент с пневмонией умирает от этой болезни. Если изменения в легочной ткани вызваны коронавирусной инфекцией, этот показатель значительно возрастает. Около 10% всех заболевших COVID-19 не смогли справиться с инфекцией и скончались.
Профилактика полисегментарной пневмонии
У взрослых профилактика полисегментарной пневмонии является важным аспектом, который может существенно снизить риск развития этого заболевания. Основные меры профилактики включают в себя как общие рекомендации по укреплению иммунной системы, так и специфические действия, направленные на предотвращение инфекций дыхательных путей.
Во-первых, одним из ключевых аспектов профилактики является вакцинация. Вакцины против пневмококковой инфекции и гриппа могут значительно снизить вероятность развития пневмонии, особенно у людей с высоким риском, таких как пожилые люди, пациенты с хроническими заболеваниями и ослабленным иммунитетом. Регулярные прививки помогают организму выработать иммунный ответ на патогены, что снижает вероятность их проникновения в легкие.
Во-вторых, поддержание здорового образа жизни играет важную роль в профилактике. Это включает в себя сбалансированное питание, богатое витаминами и минералами, регулярные физические нагрузки, достаточный сон и отказ от курения. Курение значительно увеличивает риск развития заболеваний легких, включая пневмонию, поэтому отказ от этой привычки является одним из самых эффективных способов защиты.
Также стоит обратить внимание на гигиену. Регулярное мытье рук с мылом, использование антисептиков и избегание близкого контакта с людьми, у которых есть симптомы респираторных инфекций, могут помочь предотвратить распространение вирусов и бактерий. Важно также следить за чистотой окружающей среды, особенно в местах с большим скоплением людей.
Кроме того, людям с хроническими заболеваниями, такими как диабет, заболевания сердца или легких, следует регулярно проходить медицинские осмотры и следить за состоянием своего здоровья. Это поможет своевременно выявить и лечить обострения, которые могут привести к развитию пневмонии.
Наконец, важно помнить о необходимости своевременного лечения любых респираторных инфекций. При первых признаках простуды или гриппа следует обратиться к врачу для получения рекомендаций по лечению и предотвращению осложнений. Чем раньше начнется лечение, тем меньше вероятность развития полисегментарной пневмонии.
Вопрос-ответ
Что такое полисегментарная пневмония и как она отличается от других форм пневмонии?
Полисегментарная пневмония – это воспаление легких, которое затрагивает несколько сегментов легочной ткани одновременно. В отличие от фокальной или односегментарной пневмонии, при которой воспаление охватывает только одну область, полисегментарная форма может быть более тяжелой и требует комплексного подхода к лечению.
Какие симптомы могут указывать на полисегментарную пневмонию?
Симптомы полисегментарной пневмонии могут включать кашель с выделением мокроты, одышку, повышенную температуру, озноб, боли в груди и общую слабость. Важно обратить внимание на сочетание этих симптомов, так как они могут указывать на более серьезное заболевание.
Как проходит лечение полисегментарной пневмонии у взрослых?
Лечение полисегментарной пневмонии обычно включает антибиотикотерапию, назначаемую в зависимости от возбудителя инфекции, а также поддерживающую терапию, такую как противовоспалительные препараты и бронхолитики. В тяжелых случаях может потребоваться госпитализация и кислородная терапия.
Советы
СОВЕТ №1
Обратитесь к врачу при первых симптомах. Полисегментарная пневмония может развиваться быстро, поэтому важно не игнорировать такие признаки, как кашель, одышка, высокая температура и общая слабость. Раннее обращение за медицинской помощью поможет избежать осложнений.
СОВЕТ №2
Следуйте предписаниям врача. Лечение полисегментарной пневмонии обычно включает антибиотики и другие медикаменты. Очень важно строго соблюдать рекомендации по дозировке и продолжительности курса лечения, чтобы обеспечить полное выздоровление.
СОВЕТ №3
Обеспечьте себе комфортные условия для восстановления. Во время болезни старайтесь отдыхать, пейте много жидкости и поддерживайте оптимальную влажность в помещении. Это поможет облегчить симптомы и ускорить процесс выздоровления.
СОВЕТ №4
Профилактируйте заболевания дыхательных путей. После выздоровления важно укреплять иммунитет и избегать факторов, способствующих развитию заболеваний легких, таких как курение и переохлаждение. Регулярные физические нагрузки и сбалансированное питание также помогут поддерживать здоровье легких.



